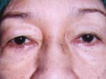
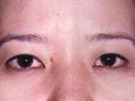
| Upper eyelid tuck and eye deep-setting |
 |
Upper eyelid tuck and eye deep-setting |

Before |

After |

Before |

After |
| Lower BLEPHAROPLASTY eyebag removal and lower eyelid tuck |
Eyebag removal and lower eyelid tuck |

Before |

After |

Before |

After |
| Upper and lower eyelid tuck and eyebag removal |
Upper and lower eyelid tuck and eyebag removal |

Before |

After |

Before |

After |
| Upper and lower eyelid tuck with eyebag removal and eyebrow tattoo |
Upper and lower eyelid tuck with eyebag removal and eyebrow tattoo |

Before |

1 week After |

Before |

1 week After |
| Eyebag removal |
Eyebag removal |

Before |

After |

Before |

After |
| Upper BLEPHAROPLASTY creation of upper eyelid fold |
 |
 |

Before |

After |
« First |
page 2 |
page3 |
page 4 |
Last » |